Rampant caries is a suddenly appearing, rapidly burrowing type of caries resulting in early pulp involvement, in which more than 10 new lesions appear every year, on healthy teeth surfaces, which are generally immune to caries.
Definitions
Massler
- "Rampant caries is defined as suddenly appearing, widespread, rapidly burrowing type of caries, resulting in early involvement of pulp and affecting those teeth usually regarded as immune to ordinary decay".
Winter
- "Rampant caries are caries of acute onset involving many or all of the teeth in areas that are usually not susceptible and are associated with rapid destruction of the crowns with frequent involvement of the dental pulp".
Classification
Different types of rampant caries include:
- Nursing bottle rampant caries.
- Adolescent rampant caries.
- Xerostomia-induced rampant caries.
Nursing Bottle Rampant Caries
It is a form of rampant caries that occurs in primary dentition of infants and children, and may be attributed to bottle-feeding habit.
-
Etiology
- Prolonged and frequent contact with bottle containing milk or sugar-containing substances, or, pacifiers dipped in honey or sugar syrup.
-
Clinical Presentation
- It is characterised by initial involvement of primary maxillary anterior teeth, followed by posterior teeth.
- The mandibular anterior teeth are usually not involved, probably due to close proximity with the submandibular salivary glands, and cleaning action of tongue.
Adolescent Rampant Caries
When rampant caries occur in adolescent age, it is referred as adolescent rampant caries.
-
Etiology
- Sudden change in eating and oral hygiene habits such as some children habitually put chocolates, toffees and biscuits in their mouth and go to sleep.
- Stress and emotional disturbances.
-
Clinical Presentation
- Buccal and lingual caries of premolars and molars
- Proximal and labial caries in mandibular incisors.
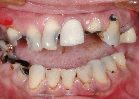
Xerostomia-induced Rampant Caries
It is a specific form of rampant caries, often associated with greatly reduced salivary flow due to salivary gland hypofunction.
-
Etiology
- Irradiation/Radiotherapy of the head and neck region (Radiation caries).
- Medication induced xerostomia.
- Surgical removal of neoplasm.

Rampant caries due to xerostomia caused by radiation therapy.
Management
Similar to other carious lesions, but requires vigorous and regular preventive and therapeutic efforts.
- First, the etiologic factors such as feeding pattern, dietary habits, stress, etc. should be identified and managed.
- Next, rapid destruction of remaining tooth structure should be prevented. This involves oral hygiene instructions, home and professional fluoride treatments, and provisional restorations.
- This is followed by rehabilitation with comprehensive restorative treatment in subsequent appointments.
References
- Chandra S, Chandra S, Chandra G. In: Textbook of Operative Dentistry. 1st ed. New Delhi: Jaypee Brothers; 2007. Clinical aspects of dental caries; p. 37.
- Arathi Rao, Principles and Practice of Pedodontics, 3rd Edition, Jaypee Brothers Medical Publishers (P) Ltd.
- Nikhil Marwah, Textbook of Pediatric Dentistry, 4th Edition, Jaypee Brothers Medical Publishers (P) Ltd.
- Image Source: https://www.researchgate.net/figure/Rampant-caries-due-to-xerostomia-caused-by-radiation-therapy_fig1_319919543 (License: Creative Commons Attribution-ShareAlike 4.0 International)
*This article is an excerpt from the above mentioned sources and Medical Sutras does not make any ownership or affiliation claims.