MedicalSutras
Calcifying Odontogenic Cyst (Gorlin's cyst)

Calcifying Odontogenic Cyst (Gorlin's cyst)

Odontogenic Cysts

Calcifying Odontogenic Cyst (COC) is a rare developmental odontogenic cyst characterised by ameloblastoma-like lining epithelium and a variable number of ghost cells and spherical calcifications.

Cyst or Tumor ?

  • 2005 : WHO classified it as a benign odontogenic tumor, termed as Calcifying Cystic Odontogenic Tumor (CCOT).
  • 2017 : WHO reclassified it as cyst, since, clinically most cases behave as non-neoplastic lesions.

Clinical Features


  • Site : Occurs with equal frequency in the maxilla and mandible, most often anterior to first molar.

  • Age : Mostly diagnosed in 20-40 year age group.

  • Intra-osseous COC :

    • Presents as slow growing, painless swelling of the jaws.
    • In some cases, there may be perforation of cortical plate over the area of expansion, resulting in palpable cystic mass and discharge.
    • On aspiration, viscous, granular, yellow fluid is found.
  • Extra-osseous COC : Presents as a localised gingival swelling.

Radiographic Features


  • Well-defined, unilocular or multi-locular radiolucency.
  • May contain flecks of calcification, seen as radiopaque irregular or tooth-like structures.
  • Root resorption or tooth displacement is seen occasionally.

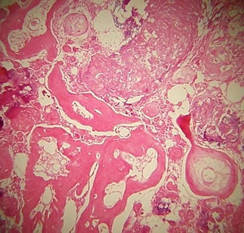
Histologic Features


  • The cyst is lined by odontogenic epithelium of varying thickness and is composed of a cuboidal or columnar, palisaded basal cell layer (ameloblastoma-like cells).
  • The overlying stellate reticulum-like layer also shows resemblance to that of ameloblastoma.
  • Ghost cells : Pale, swollen eosinophilic cells with a hole centrally (loss of nucleus and nuclear membrane).
  • The ghost cells often stack up in layers with calcification in a patchy fashion.
  • Dentinoid (Dentine-like matrix or mineralised tissue) : Seen in the fibrous cyst wall adjacent to the epithelial lining (Induced where the keratin-like material comes in contact with connective tissue).

Differential Diagnosis


  • Fibrous dysplasia (Initial stage) : More common in maxilla and has poorly defined borders that appears as mottled or smoky defined borders on radiograph.
  • Odontoma (Partially calcified) : Appears within the capsule.
  • Adenomatoid odontogenic tumor (Intermediate stage).
  • Ossifying fibroma (Initial stage) : Likely to be situated in more inferior position in the mandible and shows 'Chinese letter' shaped islands of bone or calcification distributed throughout the connective tissue (histologically).
  • Odontogenic fibroma : Shows odontogenic tissue like cementum (histologically).
  • Cementoblastoma : Well defined lesion, attached to the root of tooth.

Management


  • Enucleation and curettage is effective and recommended.
  • Prognosis is good after enucleation.

Points to Note


  • Other names : Calcifying epithelial odontogenic cyst, Keratinising and calcifying odontogenic cyst, Dentinogenic ghost cell tumor, Calcifying cystic odontogenic tumor, Calcifying ghost cell odontogenic cyst, Gorliin's cyst.
  • Occasionally (10% cases), COC is found associated with odontogenic tumors, most commonly odontomas.
  • The radiographic appearance is non-diagnostic, unless mineralisation is present.
  • Ghost cells are formed due to a peculiar form of abnormal keratinisation that results in clusters of pale swollen, eosinophilic cells, with subsequent degeneration and loss of the nucleus, forming the central hole.

References


  • Contemporary Oral Medicine A Comprehensive Approach to Clinical Practice, Camile S. Farah, Ramesh Balasubramaniam, Michael J. McCullough, Springer.

  • Cawson's Essentials of Oral Pathology and Oral Medicine (9th Edition), E. W. Odell, Elsevier.

  • Textbook of Oral Medicine (3rd Edition), Anil Govindrao Ghom, Savita Anil Ghom (Lodam), Jaypee Brothers Medical Publishers (P) Ltd.

  • Shafer, Hine, Levy Shafer's Textbook of Oral Pathology (7th Edition), Editors - R Rajendran, B Sivapathasundharam, Elsevier.

  • The image used is licensed under the Creative Commons Attribution-Share Alike 3.0 Unported License (CC-BY 2.0).

    • Description : Histology of calcified cystic odontogenic tumor.
    • Author : Baldanders.

*This article is an excerpt from the above mentioned books and Medical Sutras does not make any ownership or affiliation claims.